목차

안녕하세요!
오늘 글에서는 치과 레진, 레진 인레이의 가격을 알아보도록 하겠습니다.
구체적인 비용은 치과의원과 서비스 내용에 따라 다를 수 있습니다.
미소가 있는 건강한 웃음을 위해 한번 알아볼까요? 😁🦷💙
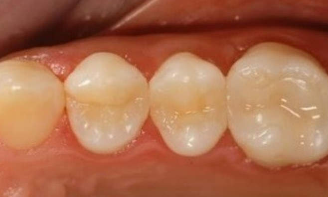
레진, 레진 인레이?
레진은 치아의 색과 매우 비슷하여 심미성이 우수합니다.
레진을 활용한 충치치료에는 크게 3가지가 있습니다.
자가중합형 레진치료:
보험이 적용되며, 작은 충치나 치아 손상에 사용됩니다.
광중합형 레진치료:
충치치료 당일, 충치 부위를 삭제하고 레진으로 메꾸어
광선으로 굳히는 치료 방법입니다.
레진 인레이 치료:
충치 부위가 2도 이상 진행된 경우,
기공소에서 맞춤형 레진 모형을 만들어
치과에서 부착하는 치료 방법입니다.
레진치료는 치과에서 다양한 상황에 맞게 선택할 수 있어
효과적인 치아 관리 방법 중 하나입니다.
🦷💡
유튜브 관련 영상
레진 비용/가격은?

레진 치료의 평균 비용은 99,275원으로 확인되었습니다.
가장 저렴한 곳은 3,500원이며,
가장 비싼 곳은 232,600원이었습니다.
다양한 가격대에서 레진치료를 받을 수 있으니,
본인의 상황에 맞게 신중하게 선택해보세요! 😊🦷
자가중합형 레진

자가중합형 레진은 일반적으로 흔히 시행되는 치과 시술은 아닙니다.
이로 인해 자가중합형 레진을 시행하는
치과를 찾기 위해 전화를 통해 확인하는 것이 좋습니다.
이 시술은 급여 항목으로 정해진 가격이 있으며,
치과 규모에 따라 2-3배의 가격 차이가 발생할 수 있습니다.
자가중합형 레진은 충치 부위가 작거나 단순한 경우에 주로 사용됩니다.
😊🦷
광중합형 레진

광중합형 레진은 1도 충치에서
일반적으로 시행되는 치료 중 하나입니다.
이 치료는 비급여 항목으로 각 치과에서는
가격이 상이하게 책정됩니다.
각 치과의 규모, 위치, 전문성 등에 따라
가격이 조절되기 때문에 정확한 비용은 해당 치과와
상담하여 확인하는 것이 좋습니다.
😊🦷
레진 인레이


레진 인레이는 주로 2도 충치에서 시행되는 치료 중 하나입니다.
이 치료는 비급여 항목으로,
각 치과마다 가격이 상이하게 책정되고 있습니다.
레진 인레이 치료는
앞에서 살펴본 레진 치료와는 달리 2번에 걸쳐 진행됩니다.
먼저 치과기공소에서 레진 모형을 맞추어야 하며,
이 과정이 추가되어 비용이 상대적으로 높게 책정됩니다.
레진 인레이에 대한 정확한 가격은
치과 상담을 통해 확인하는 것이 가장 좋습니다.
😊🦷
치과 위생용품 최저가 보기
그래핀모 칫솔 40개 쇼핑백 2개 다채로운 제품 라인으로 특별한 일상을 만나보세요 - 지니어스 스
그래핀모 칫솔 40개 쇼핑백 2개 선택의 기준은 지니어스 스코프에서!! 그래핀모 칫솔 40개 쇼핑백 2개 다채로운 제품 라인으로 특별한 일상을 만나보세요 추천해 드립니다. 더이상 망설이지 마시
nowidol.com
워터픽휴대용 믿고 구매하는 top8 상품구성 확인해보기 - easynow
워터픽휴대용 선택의 기준은 easynow에서!! 워터픽휴대용 믿고 구매하는 top8 상품구성 확인해보기 추천해 드립니다. 더이상 망설이지 마시고 easynow에서 워터픽휴대용 믿고 구매하는 top8 상품구성
easynowshop.com
뷰센미백치약 top8 어떠세요? - NewsTerra
뷰센미백치약 선택의 기준은 뉴스테라에서!! 뷰센미백치약 top8 어떠세요? 추천해 드립니다. 더이상 망설이지 마시고 뉴스테라에서 뷰센미백치약 top8 어떠세요? 추천 받아 저렴하고 최저가격으
kakawoo.com
같이 보면 좋은글
2024.01.18 - [우리동내 정보/치과정보] - 치과 실란트 가격/비용은 얼마일까?🙄
치과 실란트 가격/비용은 얼마일까?🙄
목차 안녕하세요! 여러분을 진심으로 환영합니다! 😊💙 실란트는 소아의 충치 예방 치료 중 가장 대표적인 시술 중 하나입니다. 이 시술은 급여 항목으로 지정되어 있어 그 가격이 고정돼 있습
2.websosik.com
2024.01.06 - [우리동내 정보/치과정보] - 아말감 비용/가격은 얼마일까?
아말감 비용/가격은 얼마일까?
목차 아말감은 수은, 은, 주석, 구리 등의 금속의 합금으로 100여 년 이상의 세월 동안 가벼운 충치 충전재로 널리 사용되어 왔습니다. 이 물질은 튼튼하면서도 효과적인 재료로 인정받아왔습니
2.websosik.com
2024.01.04 - [우리동내 정보/치과정보] - 치과 검진비용 초진,진료비 가격은 얼마일까? 🤔
치과 검진비용 초진,진료비 가격은 얼마일까? 🤔
목차 치과 검진비용 초진, 진료비 가격 치과를 처음 찾아갈 때의 진료비, 즉 초진비용은 병원의 등급에 따라 다르게 책정됩니다. 기본적으로 의원급은 4,400원, 치과병원급은 6,300원, 종합병원 내
2.websosik.com
easynow
쉽게쉽게 겟하자!
easynowshop.com
지니어스 스코프
모든 사람을 위한 정보 공유 플랫폼
nowidol.com
NewsTerra
지식이 무한한 Newsterra 입니다
kakawoo.com
잇지요
제품 리뷰와 최신 제품들의 가격을 비교합니다.
itzyo.com
![]()

'우리동네 정보 > 치과정보' 카테고리의 다른 글
| 라미네이트 가격/부작용 바로알고 시술하기 (0) | 2024.02.02 |
|---|---|
| 풍치(잇몸치료)의 증상/원인/예방/치료과정/비용은?🙄😣 (0) | 2024.02.01 |
| 사랑니 발치 가격/비용/보험/매복 비교 😬😰😱 (0) | 2024.01.24 |
| 임플란트 수술의 부작용 및 치료 후 주의사항 / 관리법 (0) | 2024.01.23 |
| 금 인레이/금이빨/ 가격/비용 얼마? 알아보기 🤫💰 (0) | 2024.01.22 |

