목차

라미네이트 시술과정과 부작용 알아보기
라미네이트는 치아의 겉부분(법랑질)을 얇게 삭제하고
도자기를 치아에 씌우는 치료로,
미관상의 목적으로 시술합니다.
라미네이트는 앞니가 벌어지거나 깨졌을 때,
또는 치아 미백 등을 위해서도 진행할 수 있습니다.
라미네이트로 인해 치아 삭제를 과하게 할 경우,
치아가 시리거나 치아 속 상아질 노출,
치아 손상이 우려될 수 있습니다.
치아는 자연적인 재생이 불가능하기 때문에
치아 삭제를 최소한으로 하는 경우도 많으며,
이를 무삭제 라미네이트, 제로네이트 시술로도 부릅니다.
😊🦷✨
라미네이트 비용/가격?

모두닥의 리뷰를 종합적으로 정리한 결과
라미네이트 가격/비용의 평균가격은 671,205원이었습니다.
가장 저렴한 곳은 4,100원이었으며,
가장 비싼 곳은 2,000,000원이었습니다.
유튜브 관련영상으로 알아보기
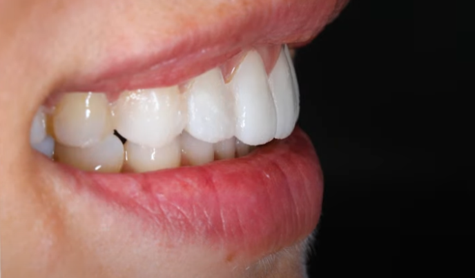
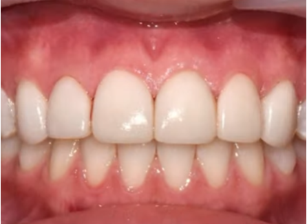
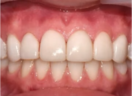
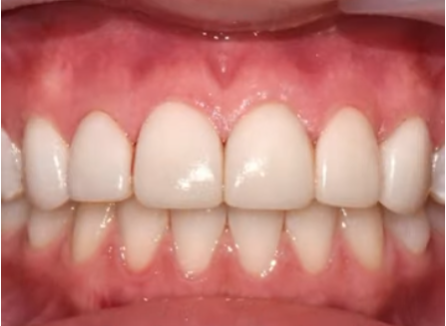
라미네이트란?
라미네이트(laminate)는 판을 붙여서 만든다는 합판의 의미를 지닙니다.
라미네이트 시술은 치아의 겉부분(법랑질)을 얇게 삭제하고
그만큼 얇게 만든 도자기를 치아에 씌우는 치료입니다.
치아 전체 혹은 부분만 덮을 수도 있습니다.
라미네이트는 주로 미관적인 목적으로 사용되며,
치아의 모양이나 색상을 개선하고 치아 간격을 조절하는 등
다양한 미용적인 목적으로 시행됩니다. 🦷✨

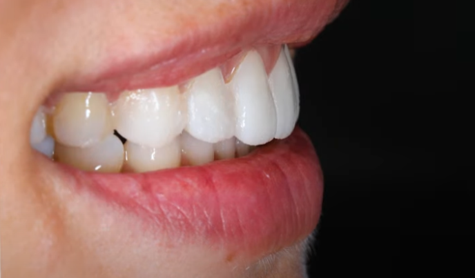
라미네이트 시술방법?
보통 치아의 겉부분을 0.1~0.2mm를 삭제합니다.
왜소치인 경우 등을 제외하고는 대부분 삭제가 필요하여,
무삭제 라미네이트 적용이 어려운 경우가 많습니다.
삭제한 부위에 맞춤으로 제작한 치아 모양 도자기를 접착제로 붙입니다.
치아 배열이나 형태가 틀어져 있어 라미네이트 시술이 안 되는 치아는
올세라믹 크라운 치료를 시행합니다.
환자의 개별적인 상황에 따라 적절한 치료 방법을 결정해야 합니다. 🦷💡
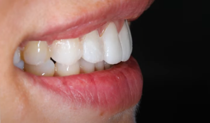
라미네이트 부작용
라미네이트 시술을 위해 치아 일부를 삭제하는 과정에서
치아 시림이나 통증이 생길 수 있습니다.
라미네이트는 평균 10년까지도 유지가 되지만,
앞니에 부담을 주거나 사용을 많이 하면 깨져서 교체해야 될 수도 있습니다.
이러한 시술 후의 불편함이나 교체가 필요한 경우에는
즉시 치과 전문의와 상담하여 적절한 조치를 취하는 것이 중요합니다.
🦷💡

라미네이트에 대한 다양한 정보를 확인해주셔서 감사합니다!
라미네이트를 통해 미소 개선을 꿈꾸시는 분들에게
유용한 정보를 제공할 수 있어 기쁘게 생각합니다.
치아 미소의 아름다움을 더욱 돋보이게 하는 데 도움이 되었기를 바랍니다.
😁🌟
함께읽으면 좋은 글
금 인레이/금이빨/ 가격/비용 얼마? 알아보기 🤫💰
목차 금 인레이 가격/비용 얼마? 안녕하세요~! 오늘은 금인레이에 대해 알아보려고 합니다. 그동안 비싼 금 인레이 치료를 고려 하셨다면 오늘 읽어볼 글을 기회로 가격정보 확인하여 나에게 맞
2.websosik.com
임플란트는 왜 해야 할까요? [임플란트의 장점 공개]
목차 임플란트의 장점 우리동내 임플란트 치과 알아보기 외모의 향상: 임플란트는 자연치아와 비슷한 외관과 느낌을 제공합니다. 또한 임플란트는 잇몸뼈에 견고하게 결합되어 오랫동안 사용
2.websosik.com
사랑니 발치 가격/비용/보험/매복 비교 😬😰😱
목차 오늘은 사랑니 발치에 대한 정보를 소개해 드릴게요. 😊 🦷 사랑니발치는 건강보험이 적용되어 정해진 가격대가 있습니다. 그러나 가끔 예상치 못한 비용이 발생할 수 있어요. 만약 사랑
2.websosik.com
라미네이트에 좋은 상품 최저가 구매
한경희구강세정기 놀라운 발견 - easynow
한경희구강세정기 선택의 기준은 easynow에서!! 한경희구강세정기 놀라운 발견 추천해 드립니다. 더이상 망설이지 마시고 easynow에서 한경희구강세정기 놀라운 발견 추천 받아 저렴하고 최저가격
easynowshop.com
유시몰 치약 120g4 20g1 놓치면 안되는 best8 먼저 확인하기! - 지니어스 스코프
유시몰 치약 120g4 20g1 선택의 기준은 지니어스 스코프에서!! 유시몰 치약 120g4 20g1 놓치면 안되는 best8 먼저 확인하기! 추천해 드립니다. 더이상 망설이지 마시고 지니어스 스코프에서 유시몰 치약
nowidol.com
덴트릭스 잇몸플러스 구강건강 24종 풀패키지 인기 폭발 top8 매력에 빠져보세요! - NewsTerra
덴트릭스 잇몸플러스 구강건강 24종 풀패키지 선택의 기준은 뉴스테라에서!! 덴트릭스 잇몸플러스 구강건강 24종 풀패키지 인기 폭발 top8 매력에 빠져보세요! 추천해 드립니다. 더이상 망설이지
kakawoo.com
easynow
쉽게쉽게 겟하자!
easynowshop.com
지니어스 스코프
모든 사람을 위한 정보 공유 플랫폼
nowidol.com
NewsTerra
지식이 무한한 Newsterra 입니다
kakawoo.com
![]()

'우리동네 정보 > 치과정보' 카테고리의 다른 글
| 신경치료 가격/비용 알아보고 치료하기😣🦷 (0) | 2024.02.04 |
|---|---|
| 금니(골드크라운) 가격/평균비용은 얼마일까?🙄🧐 (0) | 2024.02.03 |
| 풍치(잇몸치료)의 증상/원인/예방/치료과정/비용은?🙄😣 (0) | 2024.02.01 |
| 치과 레진, 레진 인레이 가격/비용은 얼마일까?😏 (0) | 2024.01.31 |
| 사랑니 발치 가격/비용/보험/매복 비교 😬😰😱 (0) | 2024.01.24 |

